顎関節症治療のパイオニア-大阪堺市の西村歯科-スマートフォンサイト

TOPページ


>症例の紹介


下の歯が見えない
前歯がすいている
反対咬合
アゴのズレ及び歪み
睡眠時無呼吸症候群
金属アレルギー
     
床矯正
くいしばり
子供の矯正
 

床矯正の症例
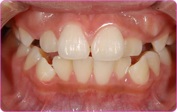
症例201708-8-4 抜歯のケースを床矯正で治療
■年齢  14才

■性別  男性

■主訴
 問題点 
他医院で「歯を抜き通常矯正をする」と言われたが、当院で見てみると右上犬歯が出ようとしていますが、スペースが無くこのままでは八重歯になってしまいます。


■治療の流れ

下に床矯正装置を装着

初診時
犬歯が入るスペースがありません。
床矯正装置を装着
赤丸のネジを回して広げ、犬歯から奥の歯を移動し犬歯の入るスペースを作ります。
空いたスペースにゴムで引っ張って犬歯の入るスペースを作ります。
ワイヤーで歯を並べていきます。
矯正完了!

症例201604-8-3 床矯正
■年齢  8才

■性別  男性

■主訴
  
下の歯並びの不正

■問題点

下のアゴが小さい
舌癖がある

■治療の流れ

下に床矯正装置を装着

初診時
床矯正装置を装着
(ネジを回して位置を広げていきます)
アゴが大きくなりました
(アゴが大きくなると鼻が通りやすくなり口呼吸から鼻呼吸に変化します)
アゴが大きくなりました
並ぶスペースが出来たので本格的な矯正
治療完了


症例201604-8-2 床矯正
■年齢  11才

■性別  男性

■主訴
  
上下の歯並びの不正

■問題点

上下のアゴが小さい

■治療の流れ

舌上下に床矯正装置を装着。


初診時
床矯正装置を装着
(アゴを広げていきます、歯を抜かないで矯正が可能です)
アゴが大きくなりました
アゴが大きくなりました
並ぶスペースが出来たので本格的な矯正
治療完了


症例201604-8-1 床矯正
■年齢  6才

■性別  女性

■主訴
  
上下の前歯の不正

■問題点

上下のアゴが小さい
舌癖がある
舌が口を閉じても見えている状態

■治療の流れ

舌を正しい位置に持っていくトレーニングの為にトレナーを1年装着することにした。

初診時
トレーナー装着
(丸印に歯をもっていきます。装置を入れて口を閉じるのが基本です。夜寝ているときは必ず日中1時間以上装着が基本です。)
トレーナー終了後
上下に矯正装置を入れる
装置を装着後顎が大きくなったのが解ります
並ぶスペースが出来たので並べていきます
治療完了




8-16 症例16 床矯正
■年齢  10才

■性別  女性

■主訴
  
鼻づまり・頭痛・歯ぎしり・悪姿勢

■治療暦

なし

■治療の流れ

口腔内が発育段階にあるため、通常の成人治療とは違い、口腔内及びアゴの発育を促進させる「床矯正」において治療。
これは、発育しきっていない子供に適用される治療法で、通常の歯列矯正とは根本的に違い、費用も安く、矯正器具の取り外しもでき、さらに自然な発育を促すことによって治療するため、通常に歯列矯正でよく行われる「抜歯」もありません。
この治療により、アゴやその周囲の発育が促され主訴を取り除くことができました。

下あごが後退している
アゴの位置が正しくなってきた
「床矯正」装置

 

TOPページ


大阪府堺市中区福田868-1向井ビル2F  TEL:072-239-1518 
E-mail:web@nishimura-shika.com
Copyright (C)  Nishimura shika. All rights Reserved