顎関節症治療のパイオニア-大阪堺市の西村歯科-スマートフォンサイト

TOPページ


>症例の紹介


下の歯が見えない
前歯がすいている
反対咬合
アゴのズレ及び歪み
睡眠時無呼吸症候群
金属アレルギー
     
床矯正
くいしばり
子供の矯正
 

反対咬合の症例
3-7症例 7 他院2件ででは効果がなかった患者様
■年齢  40才

■性別  女

■主訴

右アゴが痛い
眠れない状態が続く
首肩手足の痺れ
食事をすると重くて痛い

■治療歴

他院に2件行ったが効果無し
パニック障害になった

■治療の流れ

1.通常通り夜間のスプリントと昼用のマウスピースを装着します
2.インプラントが電磁波の影響を受けるかの検査
(携帯電話で少々影響あり)
3.O-ringテストによりどの銀が一番悪いかテスト
(右下の2本のかぶせが影響する事がわかった。)
4.かぶせものをセラミックに交換
体が電磁波の影響を受けなくなり、かぶせものを除去するだけで楽になった。

■良くなった原因
1.夜用スプリント装着により、夜、寝ているときにくいしばりが軽減した。
昼用のマウスピースにはかみあわせが良くなり肩こりが軽減。
2.O-ringテストにより一番体に影響を与える。
悪い銀をとることにより楽になった。
※現在も遠方より4ヶ月に一度リコールで来院されています。
再発もなく非常に良好です。


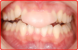
前歯の噛み合わせが悪い
パノラマ写真
夜用スプリント
昼用マウスピース

3-3症例 3 メールをいただいて治療した典型的な症例

◆口腔内写真◆



◆くいしばり防止用のスプリントです◆
夜用スプリント
昼用スプリント
夜用スプリント
上記のスプリントは日中つけます

■年齢  40才

■性別  女

■主訴

肩こり、頭痛、倦怠感 あごの痛み その他(耳の詰まり感、耳鳴、首のこり、奥歯の痛み)

■症状の詳細

最初に右奥歯の痛みから始まり、右側の首、肩、耳鳴り、耳詰まりの症状がじょじょに重くなり、歯科医、耳鼻科、整形外科を転々と巡りましたが、原因分からず、症状の改善は見られず、インターネットで調べて顎関節の専門医を探してたどり着きました。

■今日の治療法

夜はくいしばり防止の為に夜用のスプリント、昼は下アゴのズレを治し、肩・首の緊張を取る。昼用のマウスピースを装着した。

■かみあわせの治療後の改善点又は感想

最初スプリントを装着すると、まず耳の不快感がスッと消えた。
不思議な感覚でした。スプリントをはずすと元に戻るので、昼間も不調のときにたまに装着していました。
夜間は必ず装着。
3日後ぐらいに首や肩のこりが取れてきて、はずしても不調が無くなってきました。
1週間でほぼ体の不調はなくなりました。
このままこの不定愁訴と付き合わなければいけないのかと覚悟した矢先の最後の頼みのつなでした。
先生には大変感謝しています。ありがとうございました。

■良くなった原因

スプリントにより夜間食いしばり防御が出来たこと。
又、スプリントが自分に適合していた。
昼に装着した装置で下顎の位置を安定した。

■院長記入

以上のようなくいしばりの症状でいろんな不定愁訴を訴える人が非常にたくさんいらっしゃいます。
こういう時に前歯のみに小さなスプリントを入れると非常に効果があります。



 

 





TOPページ


大阪府堺市中区福田868-1向井ビル2F  TEL:072-239-1518 
E-mail:web@nishimura-shika.com
Copyright (C)  Nishimura shika. All rights Reserved